Sist uke var jeg til MR, da fikk jeg med bildene på CD siden jeg ikke har sett på de før og det etter en ca 10 ganger i MR maskina. Da var det på tide at jeg fikk se litt nærmere på disse bildene. Var ikkje helt forberedt på hva jeg skulle se så fikk sjokk av første bildet som dukka opp på skjermen :-O
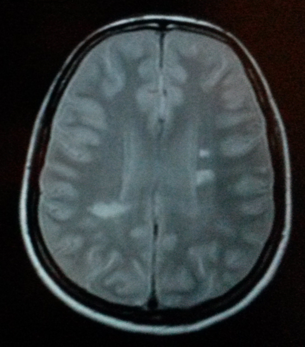
Hjelpes!!! Gurimalla, ka e d her tenkte e, rene halloween :-O I ren panikk måtte e se nærmere på de andre bildene, for MR bilder e har sett av Plakk (hvite flekker) og forklart hva MS egentlig er, ser slik ut:
Etterhvert ble e sittende og bare le for bildene som dukket opp på skjermen ble bare mer og mer sånn passe komiske og rare, og noen skjønte e ikke noe av, altså opp, ned eller ka det sku være… E får vel svar i samtale med legen etterhvert?
Bildet som var litt mer interessant å se på var bilde med kontrastvesken. Det ser jo ut til at alt funker som det skal?



